El adenocarcinoma de pulmón tiene presentaciones clínicas y radiológicas atípicas ocasionalmente. Presentamos un caso clínico radiológicamente peculiar, y realizamos una revisión de las novedades diagnósticas y terapéuticas que creemos son de interés para el neumólogo clínico.
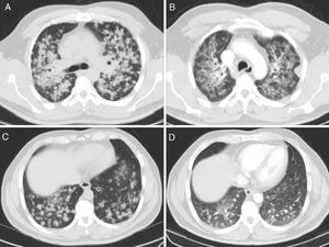
A continuación se presenta el caso de un paciente natural de Ecuador, de 49 años de edad, sin antecedentes personales de interés, no fumador y sin contactos conocidos con pacientes afectos de tuberculosis. Consultó por un cuadro de tos crónica productiva de 10 meses de evolución, con esputos mucopurulentos y ocasionalmente hemoptoicos, además de intensa hiporexia y pérdida de 3kg de peso. En la radiografía de tórax se apreciaban infiltrados pulmonares bilaterales con algunas imágenes pseudonodulares mal definidas, de predominio en los lóbulos superiores. Ingresó en régimen de aislamiento respiratorio con sospecha inicial de tuberculosis, siendo las baciloscopias de esputo negativas. Tras comprobar en la TAC de tórax la existencia de múltiples opacidades nodulares pulmonares bilaterales (fig. 1A y C), la mayoría de ellas cavitadas, se realizó broncoscopia que no mostró hallazgos patológicos en la revisión bilateral exhaustiva. Se llevó a cabo un estudio citológico de las muestras de lavado broncoalveolar, diagnosticándose de adenocarcinoma de pulmón con patrón micropapilar. La deleción del exón 19 fue positiva, mientras que el resto de las mutaciones estudiadas fueron negativas (L858R, T790M, G719A/C/S, exón 20, S768I y L861Q, ALK y ROS1). El paciente comenzó tratamiento con gefitinib, con buena respuesta clinicorradiológica a los 4 meses (fig. 1 B y D).
El adenocarcinoma es el tipo histológico más frecuente de cáncer de pulmón. En 2011 se publicó una nueva y necesaria clasificación de adenocarcinoma atendiendo a patrones distintos, con un pronóstico y manejo diferentes, tras un consenso en el cual participaron neumólogos, cirujanos torácicos, oncólogos, patólogos, biólogos moleculares y radiólogos1. En los años sucesivos se han ido introduciendo algunos cambios en esta clasificación, atendiendo a rasgos genéticos y de biología molecular. En la última revisión de la clasificación del adenocarcinoma pulmonar realizada en 2015 se distinguen 2 grupos: lesiones preinvasivas (hiperplasia adenomatosa atípica y adenocarcinoma in situ) y lesiones invasivas (adenocarcinoma mínimamente invasivo y adenocarcinoma invasivo)2,3.
El espectro de manifestaciones radiológicas del adenocarcinoma de pulmón es muy variable, desde lesiones subsólidas o sólidas a consolidaciones y masas que generalmente muestran una adecuada correlación con la histología y el pronóstico, de ahí la importancia del papel del radiólogo. Para la detección y la caracterización de los nódulos pulmonares ha sido determinante el uso de la TAC multidetector de alta resolución en lugar de la TAC helicoidal convencional (con una colimación más grosera)4.
El adenocarcinoma invasivo representa el 70% de los adenocarcinomas de pulmón resecados y se define por la presencia de un componente invasivo mayor de 5mm. Histológicamente suelen ser heterogéneos, con patrones mixtos (acinar, papilar, micropapilar, lepídico y sólido), y reciben el nombre del componente que predomina. Algunos subtipos están asociados con un pronóstico específico. Por ejemplo, el adenocarcinoma con componente lepídico predominante tiene mejor pronóstico. Por el contrario, la presencia de componente micropapilar empeora la supervivencia. Por ello, el adenocarcinoma con patrón micropapilar ha suscitado últimamente mucho interés, sobre todo debido a su elevada capacidad de recurrencia y metástasis. Es más común en varones y no fumadores, y asocia con mayor frecuencia que otros subtipos histológicos invasión linfática y pleural, y adenopatías metastásicas.
Los hallazgos radiológicos típicos en los adenocarcinomas invasivos son lesiones nodulares sólidas o mixtas (con componente sólido y parte en vidrio deslustrado), siendo menos frecuentes los nódulos puramente en vidrio deslustrado. Además, es bastante relevante cuantificar el tamaño de la parte sólida, de manera que si es mayor de 9mm tiene una especificidad del 100% para hacer un diagnóstico de adenocarcinoma invasivo, mientras que un tamaño de 3-5mm lo hace menos probable. Este concepto parece que está ganando importancia y en futuras clasificaciones se tendrá más en cuenta el tamaño de la parte sólida que el tamaño global del nódulo como criterio para estadificar el T del TNM5,6. Otra cuestión a tener en cuenta para diferenciar lesiones preinvasivas de invasivas es el diámetro transversal mayor del nódulo en ventana de pulmón4,6.
En cuanto al tratamiento, recientes avances están permitiendo un enfoque más específico. Estos progresos vienen de la mano de un grupo de fármacos cuya diana terapéutica es el receptor del factor de crecimiento epidérmico o EGFR (por sus siglas en inglés) y que se denominan genéricamente inhibidores de la tirosina cinasa, tales como erlotinib y gefitinib para la primera línea de tratamiento, o afatinib para la segunda línea cuando la primera falla o hay recaídas. Actualmente se sabe que una buena respuesta a estos fármacos se da con mayor probabilidad en aquellos pacientes que tienen una mutación activadora en el gen EGFR (deleción del exón 19 o sustitución del L858R)7.
Nuestro caso ofrece peculiaridades al tratarse de una presentación radiológica infrecuente. Por ello, consideramos que el adenocarcinoma de pulmón ha de incluirse en el diagnóstico diferencial de este patrón radiológico.








