In their recent systematic review and meta-analysis published in Archivos de Bronconeumología, Briceño et al. synthesized data from more than 200000 patients with acute pulmonary embolism (PE) to clarify the prognostic impact of central thrombi [1]. They reported that central PE, defined as emboli in the main or saddle pulmonary arteries, is a relatively rare finding (approximately 4% of unselected PE cases) and is not clearly associated with higher short-term all-cause mortality, although it is associated with substantially higher odds of PE-related deterioration and PE-related death [1]. These findings are clinically relevant, particularly for hemodynamically stable patients in whom decisions about advanced reperfusion therapies remain challenging.
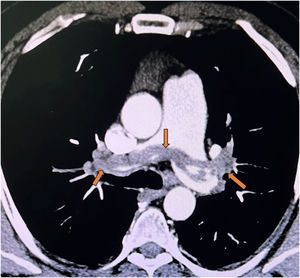
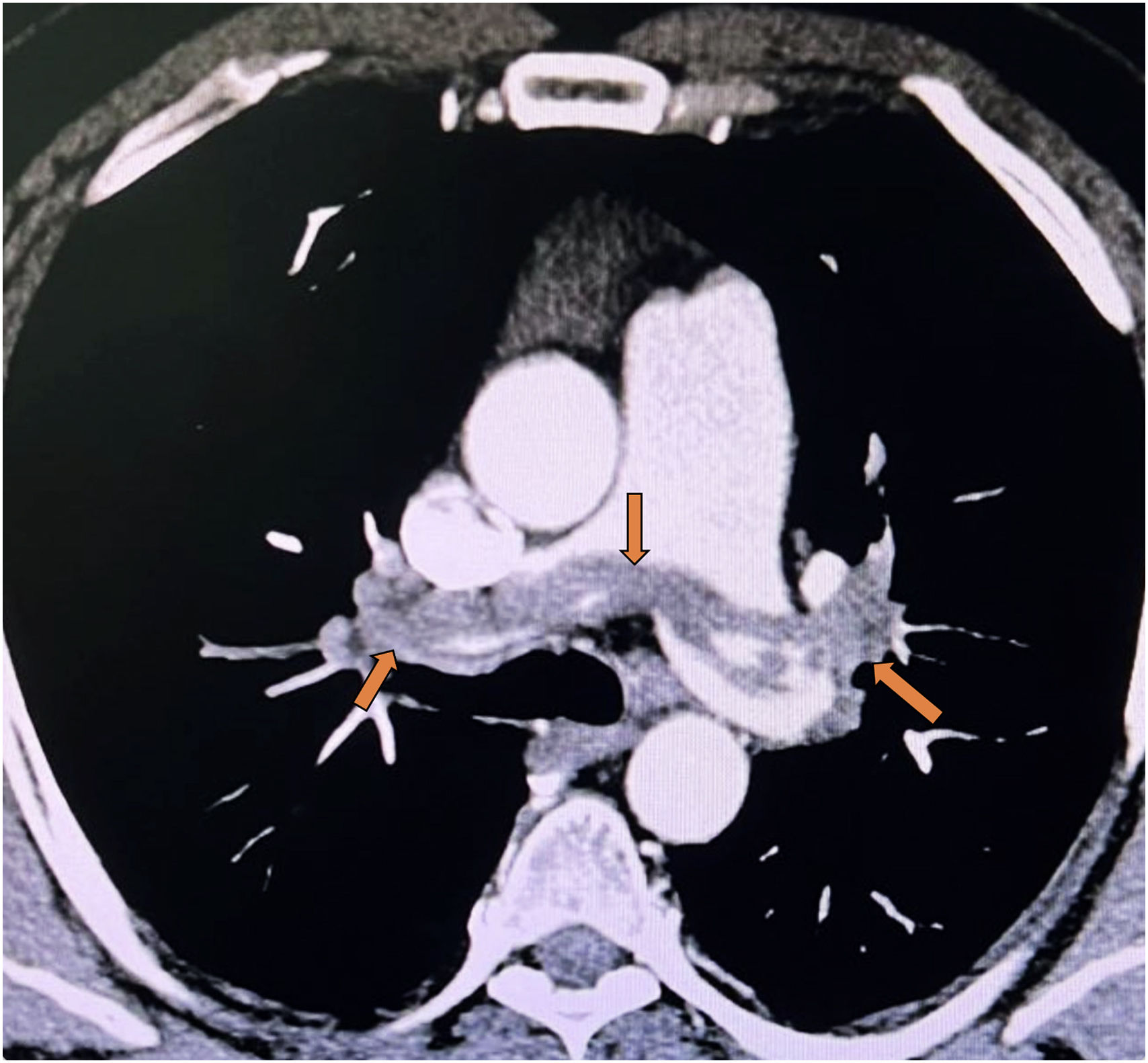
Within this spectrum, saddle pulmonary embolism (SPE) has traditionally been perceived as synonymous with “massive” or high-risk PE because of its striking central clot burden on computed tomography pulmonary angiography (Fig. 1). However, contemporary series and meta-analyses suggest that SPE is a heterogeneous phenotype with variable outcomes and a nonconsistent independent association with 30-day all-cause mortality once right ventricular (RV) function and hemodynamic status are taken into consideration [2,3]. The work by Briceño et al. reinforces the notion that clot location and burden are, at best, imperfect surrogates of clinical severity and should not replace a comprehensive risk assessment grounded in RV dysfunction, biomarkers, and comorbidities.
CT pulmonary angiography in a hemodynamically stable patient showing a bulky saddle embolus straddling the bifurcation of the main pulmonary artery and partially obstructing both main pulmonary arteries (red arrows) – an appearance traditionally associated with ‘massive’ or high-risk pulmonary embolism.
From a practical standpoint, we believe central and saddle PE in hemodynamically stable patients should be interpreted as high-alert imaging findings requiring rapid, structured, multidisciplinary evaluation, rather than as automatic indicators for aggressive reperfusion. In several centers, the identification of central or saddle thrombi appropriately triggers activation of a pulmonary embolism response team (PERT), facilitating coordinated assessment by cardiology, pulmonology, intensive care, hematology, and interventional specialists [4]. Although central location understandably increases consideration of systemic thrombolysis, catheter-directed therapies, or mechanical thrombectomy, the final decision should integrate clinical, imaging, and laboratory data, not anatomy alone.
Looking ahead, we agree with Briceño et al. that thrombus location may add value when incorporated into multivariable models focused on PE-related complications rather than all-cause mortality. Automated, deep learning-based tools already allow rapid and reproducible quantification of clot burden; the clot ratio derived from such algorithms has been shown to correlate with established risk categories in acute PE [5]. Multimodal AI models combining imaging features, clinical variables, and biomarkers could ultimately refine the selection of patients with central or SPE who might benefit from invasive reperfusion strategies despite initial haemodynamic stability. Until these approaches are validated and fully integrated into clinical workflows, we caution against overreliance on clot burden – whether visually estimated or derived from AI – as a stand-alone trigger for high-risk interventions. For the time being, the key determinants of outcome in hemodynamically stable patients with central or SPE remain hemodynamics, RV function, and the broader cardiopulmonary context.
Prior presentationNone declared.
Declaration of generative AI and AI-assisted technologies in the writing processDuring the preparation of this manuscript, the authors utilized Grammarly software to assist with grammar and style corrections. Following the use of this tool, the authors carefully reviewed and edited the content as necessary and take full responsibility for the integrity and accuracy of the final manuscript.
FundingNone declared.
Conflicts of interestNone declared.
Data availabilityData are available from the authors on reasonable request.







