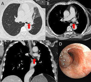
A 70-year-old woman with a history of breast cancer presented with a 6-month history of hemoptysis and cough, with clinical worsening over the preceding week. Chest computed tomography (CT) (Fig. 1A–C) demonstrated intraluminal masses within the left main bronchus and left upper lobe bronchus, resulting in airway obstruction and associated atelectasis. Flexible bronchoscopy (Fig. 1D) revealed a smooth, purplish-red mass causing severe stenosis of the left main bronchus and complete occlusion of the left upper lobe bronchus. Both lesions were completely removed using an electrosurgical snare.
Unenhanced chest CT (A) revealed intraluminal neoplastic masses in the left main bronchus and left upper lobe bronchus (arrow), causing obstruction and atelectasis. Enhanced venous-phase images (B, C) demonstrated progressive and marked contrast enhancement of the masses (arrows). Bronchoscopy (D) revealed the presence of a smooth, purplish-red neoplasm inside the left main bronchus.
Histopathological examination showed vascular-rich tissue composed of sheets of proliferating cells with round nuclei and eosinophilic cytoplasm. Immunohistochemical staining was positive for ERG, CD34, and CD31 within vascular structures and negative for epithelial, myogenic, and neuroendocrine markers. The Ki-67 proliferation index was approximately 10% in hotspot areas. These findings supported a diagnosis of endobronchial capillary hemangioma with extensive hemorrhage. No evidence of recurrence was observed during a 2-year follow-up period.
Endobronchial capillary hemangioma is a rare benign vascular tumor in adults, most commonly presenting between 44 and 74 years of age with hemoptysis and symptoms of airway obstruction [1,2]. Management is aimed at controlling bleeding, relieving airway obstruction, and preventing recurrence, with bronchoscopic intervention being the primary therapeutic approach. Owing to the tumor's rich vascularity, bronchoscopic biopsy or resection carries a risk of massive hemorrhage and should be performed by experienced operators with appropriate hemostatic strategies and emergency preparedness in place.
Authors’ contributionsQ.P.Z. contributed to the conception, acquisition, literature search and preparing the figures; B.L.L. contributed to drafting the text and approved the manuscript.
Declaration on the use of artificial intelligenceNo artificial intelligence tools or technologies were used in the preparation of this manuscript.
FundingNone declared.
Conflicts of interestNone declared.







